ブログ
当院での治療報告
-
犬の成長板骨折について
イベント情報お知らせ当院での治療報告
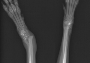
犬の成長板骨折 犬の成長板骨折とは 成長板骨折の実際の症例 犬の成長板骨折とは骨には成長板というものが存在します。成長板は成長期に骨を伸ばすために働く軟骨のことですね。この成長板は成長期にしか存在せず、成長期が終わると骨に置き換わ...
続きを読む
犬の成長板骨折 犬の成長板骨折とは 成長板骨折の実際の症例 犬の成長板骨折とは骨には成長板というものが存在します。成長板は成長期に骨を伸ばすために働く軟骨のことですね。この成長板は成長期にしか存在せず、成長期が終わると骨に置き換わ...
続きを読む